IMÁGENES EN NEFROLOGÍA
Hidatidosis abdominal e insuficiencia renal
  Abdominal hidatidosis and renal insufficiency
  Fernando Segovia, Pablo Barbero, José Lucas Daza
 Instituto de Nefrología del Oeste, Buenos Aires,  Argentina (dr.fernandosegovia@gmail.com) 
Recibido en su forma original: 14 de mayo de 2016
Aceptación final: 30 de mayo  de 2016
Paciente  de 78 años de edad, sexo femenino, que consulta por guardia por cuadro de  vómitos, astenia, diarrea  y distensión  abdominal. Refiere antecedentes de alcoholismo y cáncer de útero hace 5 años  tratada con histerectomía. Vivía en medio rural (provincia de Entre Ríos) hasta  hace 1 año, cuando se traslada a la ciudad de Buenos Aires. No realizaba  chequeos médicos de rutina, salvo durante los embarazos y partos, cuadro de  metrorragia hace 5 años y episodio de urticaria cuatro años antes.
 Refiere  comenzar con distensión abdominal hace 7 meses, el cual fue progresando, presentando  al examen físico un abdomen a tensión. Se constata oliguria y el laboratorio  mostraba: Urea s: 212 mg/dl, Creatinina s: 3,7 mg/dl, Na  s: 133 mEq/l, K s: 3,8 mEq/l, Hematocrito 33%, Leucocitos 8.500/ml, Albúmina sérica  2.9 g/dl; Transaminasas y bilirrubina normales.
 Con  diagnóstico presuntivo de síndrome compartimental abdominal se solicitó medición  de presión intra-abdominal (PIA) y tomografía computada de tórax  y abdomen.
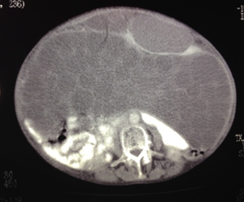
 Las  imágenes de tórax no arrojaron datos de importancia y en abdomen  se ve desplazamiento posterior de ambos riñones y ásas intestinales, coherente  con síndrome compartimental, además de formaciones quísticas múltiples en  peritoneo. 
 Presentaba  una PIA de 34 cm de H2O. Se solicitó Arco 5 para Hidatidosis, siendo el  resultado positivo. 
Imagen 1. Se aprecia  desplazamiento de asas intestinales y ambos riñones en sentido dorsal
Imagen 2. Se observa  con más claridad las imágenes quísticas diseminadas
La  enfermedad hidatídica es una zoonosis endémica en zonas rurales de clima  templado, la de mayor prevalencia en Argentina y producida por la forma  larvaria de cestodos de la familia Echinococcus (Granulosos la más frecuente).  Infecta al ser humano como huésped intermediario accidental. El contagio humano  de esta patología ocurre por el contacto con animales domésticos o al ingerir  verduras o aguas contaminadas con los huevos del parásito. En general los  pacientes permanecen asintomáticos durante mucho tiempo, debido al crecimiento  lento de los quistes que pueden afectar a cualquier órgano de la anatomía,  aunque se localizan en la mayoría de los casos en hígado y pulmón, con  localizaciones menos habituales en bazo, peritoneo y riñón. La enfermedad  peritoneal es una entidad poco común, con una frecuencia establecida del 13% de  las hidatidosis abdominales. Existen las formas primarias y las secundarias (las  más frecuentes) relacionadas a cirugía practicada por hidatidosis hepática;  menos frecuente es por la ruptura espontánea asintomática. Estos implantes  pueden crecer y ocupar toda la cavidad peritoneal, simulando una masa  multilobulada, entidad conocida como hidatidosis peritoneal enquistada. La  hidatidosis peritoneal, por lo general, se desarrolla de manera asintomática,  causando molestias sólo cuando los quistes son lo suficientemente grandes para  comprometer y/o comprimir los órganos intra-abdominales.
  El  compromiso renal se suele presentar como quiste cortical que simula un quiste  Bosniak III, al romperse pueden eliminarse las membranas por la orina. En el caso presentado el compromiso renal  fue producido por unsíndrome  compartimental abdominal, con deterioro de la función renal y oliguria,  secundario a un compromiso peritoneal probablemente primario (no se encontraron  imágenes sospechosas en hígado, pulmón u otros órganos).
 No  se ha localizado en la búsqueda bibliográfica casos informados con siembra  peritoneal y síndrome compartimental.
 La  tomografía computada es el estudio de elección, ya que permite examinar el  abdomen en toda su extensión así como también la pelvis, es útil también la  ecografía.
 El  diagnóstico es relativamente sencillo cuando existe el contexto clínico  adecuado y se observan quistes con diferentes morfologías.
 En  el laboratorio puede encontrarse eosinofilia. Leucocitosis sólo si algún quiste  presenta una complicación infecciosa. La elevación de las transaminasas y/o hiperbilirrubinemia  sugieren complicaciones de un quiste hepático o compromiso de la vía biliar  (rotura, abscedación).
Se  confirma el diagnóstico con reacciones serológicas:
 -  Inmunoelectroforesis (Arco 5). Examen de uso frecuente, de fácil realización,  con 100% de especificidad pero de sensibilidad baja, por lo que un resultado  negativo no descarta el diagnóstico. 
  -  Hemoaglutinación. Sensibilidad del 80% en afectación hepática y 65% en lesiones  pulmonares. Presenta reacciones cruzadas con la triquinosis y la fasciolasis. 
  -  ELISA Ig G. Examen que ha desplazado a los   anteriores.
  
El  tratamiento quirúrgico es de elección en combinación con el farmacológico,  siendo el albendazol el más usado.
 Respecto  al Síndrome Compartimental Abdominal (SCA), éste es un  cuadro grave y de alta mortalidad, de múltiples causas. El aumento de la PIA  por encima de 27-30 cm de agua genera fuertes repercusiones funcionales en  distintos órganos. La PIA normal es de 0-8 cm  de H2O; se considera que hay hipertensión abdominal cuando es sostenida y mayor o  igual a 15 cm de H2O. Obesos o embarazadas pueden llegar a tener valores de 13-18 cm de H2O. Grado severo se considera cuando es mayor de 25 mmHg  y requiere descompresión quirúrgica.
 La  presión de perfusión abdominal (PPA) disminuye en dichos casos severos (llevándola  a menos de 60 mmHG), afectando el sistema cardiocirculatorio, respiratorio,  esplácnico a nivel reno-ureteral e indirectamente el sistema nervioso central.  La PPA se calcula como la PAM menos la PIA.
 La  afección renal se produce a partir de distintas consecuencias, a saber: caída  del gasto cardíaco, aumento de la resistencia vascular renal, disminución del  flujo sanguíneo renal y del filtrado glomerular, activación del sistema  renina-angiotensina, compresión del parénquima renal y ureteral, cuya  resultante finalmente confluye en una Insuficiencia  Renal Aguda con componentes pre-renal, renal y post-renal.
REFERENCIAS BIBLIOGRÁFICAS 
- Amin MU, Mahmood  R, Shafique M, Khan MS, Bilal A, Siddiqi HA. Pictorial review: Imaging features  of unusual patterns and complications of hydatid disease. J Radiol Case Rep. 2009;3(12):1-24.
  - Cheatham ML,  Malbrain ML, Kirkpatrick A, Sugrue M, Parr M, De Waele J, et al. Results from  the International Conference of Experts on Intra-abdominal Hypertension and  Abdominal Compartment Syndrome. II. Recommendations. Intensive Care Med. 2007;33(6):951-62.
  - Diebel LN,  Dulchavsky SA, Wilson RF. Effect of increased intra-abdominal pressure on  mesenteric arterial and intestinal mucosal blood flow. J Trauma. 1992;33(1):45-8; discussion 48-9.
  - Gestring M.  Abdominal compartment syndrome in adults [Internet]. Disponible en:  http://www.uptodate.com/contents/abdominal-compartment-syndrome-in-adults (citado: 21/05/2016)
  - Moreno Serrano  A, García Díaz JJ, Ferrer Márquez M, Moreno Marín P, Fabiano P. A propos of a  case: Abdominal compartment syndrome caused by massive hydatid disease. Rev Esp Enferm Dig. 2016;108(2):110-1.
  - Ozturk G,  Aydinli B, Yildirgan MI, Basoglu M, Atamanalp SS, Polat KY, et al.  Posttraumatic free intraperitoneal rupture of liver cystic echinococcosis: a  case series and review of literature. Am  J Surg. 2007;194(3):313-6. 
  - Pedrosa I, Saíz  A, Arrazola J, Ferreirós J, Pedrosa CS. Hydatid disease: radiologic and  pathologic features and complications. Radiographics. 2000;20(3):795-817.
Cómo citar este artículo: Segovia F, Barbero P, Daza JL. Hidatidosis abdominal e insuficiencia renal. Rev Nefrol Dial Traspl. 2016; 36(2):137-9.
Revista de Nefrología, Diálisis y Trasplante
  ISSN 2346-8548 (electrónico) - ISSN 0326-3428 (impreso) 
  Gascón 88 (1181) Ciudad Autónoma de Buenos Aires, Argentina
  Contacto: ban@renal.org.ar