Rev. Nefrol. Dial. Traspl. 2025;45(3):153-160

 

 

Casuística

 

Histiocytes Plugging the Glomerular Capillaries: A Rare Manifestation of Monoclonal Gammopathy

 

Histiocitos que taponan los capilares glomerulares: una manifestación rara de gammapatía monoclonal

 

Özant Helvacı1, Saliha Yıldırım1, Emre Yasar1, Asil Demirezen1, Omer Faruk Akcay1, Kadriye Alto1, Yasemin Erten1, Galip Guz1, Ulver Derici1, Burak Sezenoz2, Ozden Seckin2, Elif Isil Ay3

 

Muge Uzerk Kibar1, Muge Buyukaksoy2, Caner Candary3, Simal Koksal Cevhery3, Meryem Kelesy3, Guldehan Haberaly4, Hasan Hacı Yeter4, Arzu Sağlam4

 

1) Department of Nephrology, Ankara Bilkent City Hospital, Ankara, Turkey

2) Department of Internal Medicine, Ankara Bilkent City Hospital, Ankara, Turkey

3) Department of Nephrology, Ankara Bilkent City Hospital, Ankara, Turkey

4) Department of Nephrology, Hacettepe University, Ankara, Turkey

5) Department of Pathology, Hacettepe University, Ankara, Turkey

 

Recibido en su forma original: 20 de mayo de 2025

En su forma corregida: 19 de junio de 2025

Aceptación final: 25 de julio de 2025

ORCID: 0000-0002-0948-6583

E-mail: m_uzerk@hotmail.com

 

 

RESUMEN

La gammapatía monoclonal es un trastorno caracterizado por la proliferación de células plasmáticas o linfocitos B y la sobreproducción de inmunoglobulina monoclonal. La afectación renal en la gammapatía monoclonal puede manifestarse de diversas maneras, pero la obstrucción de los capilares glomerulares por histiocitos es excepcionalmente rara. Presentamos el caso de un paciente con insuficiencia renal, proteinuria y anemia. La biopsia renal reveló numerosos histiocitos que obstruían los capilares glomerulares y la luz tubular renal, con depósitos cristalinos de inmunoglobulina monoclonal. El aspirado de médula ósea mostró un aumento de células plasmáticas atípicas con inclusiones citoplasmáticas, compatible con un diagnóstico de mieloma múltiple. Este caso destaca una presentación inusual de la gammapatía monoclonal con afectación renal, lo que enfatiza la importancia de considerar este diagnóstico en pacientes con insuficiencia renal inexplicable y proteinuria. Este es, hasta donde sabemos, el cuarto caso reportado de histiocitosis por almacenamiento de cristales que afecta las asas capilares glomerulares y el primero en describir su coexistencia con nefropatía por cilindros de cadenas ligeras.

Palabras clave: Histiocitosis por Almacenamiento de Cristales; Gammapatía Monoclonal; Capilares Glomerulares; Mieloma Múltiple; Nefropatía por Cilindros de Cadenas Ligeras

 

ABSTRACT

Monoclonal gammopathy is a disorder characterized by the proliferation of plasma cells or B lymphocytes and overproduction of monoclonal immunoglobulin. Renal involvement in monoclonal gammopathy can manifest in various ways, but histiocytes obstructing glomerular capillaries is exceptionally rare. We report on a case of a patient presenting with renal impairment, proteinuria, and anemia. Kidney biopsy revealed numerous histiocytes plugging glomerular capillaries and renal tubular lumina, containing crystalline monoclonal immunoglobulin deposits. The bone marrow aspirate demonstrated an increase in atypical plasma cells with cytoplasmic inclusions, consistent with a diagnosis of multiple myeloma. This case highlights an unusual presentation of monoclonal gammopathy with renal involvement, emphasizing the importance of considering this diagnosis in patients with unexplained renal impairment and proteinuria. This is, to our knowledge, the fourth reported case of crystal-storing histiocytosis involving glomerular capillary loops and the first to describe its coexistence with light chain cast nephropathy.

Keywords: Crystal-Storing Histiocytosis; Monoclonal Gammopathy; Glomerular Capillaries; Multiple Myeloma; Light Chain Cast Nephropathy

 

INTRODUCTION

Monoclonal gammopathy is a condition characterized by the excessive production of a monoclonal immunoglobulin (MIg), due to the clonal proliferation of plasma cells or B lymphocytes, which can be detected in the blood or urine and deposited in various organs, such as the kidneys, resulting in tissue injury. The causes of monoclonal gammopathy include various hematologic neoplasms, such as multiple myeloma (MM), lymphoplasmacytic lymphoma (including Waldenström macroglobulinemia [WM]), and other B-cell lymphoproliferative disorders, including chronic lymphocytic leukemia/small lymphocytic lymphoma and marginal zone lymphoma. It can also result from very small clonal proliferations of plasma cells or B lymphocytes that have not yet reached a diagnostic threshold. These conditions can be associated with the secretion of intact MIg or fragments of its light or heavy chains, which are detectable in blood or urine as monoclonal protein (M protein) through electrophoresis or by measuring free light chains (FLCs) (1). 

The risk of developing kidney disease in patients with monoclonal gammopathies depends on the toxic potential of the secreted M protein, which is influenced by its unique physical and chemical properties. While many patients with MIg do not develop kidney problems, others may experience various types of kidney injuries known as dysproteinemia-associated or MIg-associated renal diseases. These conditions involve the precipitation or deposition of monoclonal immunoglobulins anywhere along the nephron as casts, fibrils, granular deposits, or crystals. The most common nephropathy in myeloma patients with acute renal failure is light chain cast nephropathy (LCCN), also known as myeloma cast nephropathy. LCCN features crystalline intratubular casts composed of monoclonal kappa or lambda light chains, along with Tamm-Horsfall protein (2). Intracellular immunoglobulin crystallization occasionally happens within proximal tubular cells, a condition known as light chain proximal tubulopathy (LCPT), and within histiocytes, referred to as crystal-storing histiocytosis (CSH). 

Crystal-storing histiocytosis (CSH) is a rare condition, with the kidney being one of the most frequently involved sites (3). This disorder involves the aberrant deposition of crystallized proteins within histiocytes, typically composed of immunoglobulins or immunoglobulin fragments. CSH is frequently associated with underlying plasma cell dyscrasias, such as multiple myeloma, monoclonal gammopathy of unknown significance (MGUS), or other B-cell lymphoproliferative disorders. The prognosis of CSH varies and depends on the underlying clinical condition. The most commonly associated clinical condition is multiple myeloma (3).

When the kidneys are involved, patients with CSH may present symptoms such as renal insufficiency, proteinuria, or hematuria. These clinical manifestations are often correlated with the compartment of deposition, underlying hematologic disorder, and the degree of renal involvement. Renal biopsy is essential for diagnosis, typically revealing histiocytes with intracellular eosinophilic needle-shaped to globular crystalline inclusions, primarily located in the interstitium; occurrences within the glomerular capillary lumina are rare. These crystals are usually negative with silver and Congo stains and may show variable positivity with the PAS stain. These crystals can disrupt the normal architecture of the kidney, leading to impaired renal function. 

Immunofluorescence and electron microscopy are instrumental in confirming the presence and character of the crystals. Identifying the underlying plasma cell disorder is crucial, necessitating procedures such as bone marrow biopsy, serum protein electrophoresis, and other hematologic tests. It is essential to distinguish CSH from other conditions that can lead to crystalline deposits in the kidneys, including light chain cast nephropathy, amyloidosis, and certain drug toxicities (4). 

We present a case of multiple myeloma initially diagnosed via a kidney biopsy, characterized by CSH predominantly affecting glomerular capillaries and accompanied by light-chain cast nephropathy, characterized by needle-shaped crystalloid casts in the tubular lumens. The existing literature describes only a few cases that detail CSH within glomeruli.

 

CASE PRESENTATION

A 51-year-old woman, previously diagnosed with diabetes mellitus and ankylosing spondylitis, presented to the internal medicine outpatient clinic of a different hospital complaining of nausea, vomiting, and leg cramps. Initial examination revealed anemia, with a hemoglobin (Hb) level of 10 g/dL, and a creatinine level of 1,14 mg/dL. She was prescribed iron medication. 3 months later, she revisited the clinic due to persistent nausea. Subsequent blood tests indicated a creatinine level of 3,8 mg/dL and a blood pressure reading of 200/100 mmHg. She was then referred to one of our centers and hospitalized for acute kidney injury and newly diagnosed hypertension. Urinary ultrasonography revealed no pathological findings.

Laboratory findings revealed the following: White blood cell count 5790/μl, hemoglobin 7,8 g/dL, platelet count 270000/μl, blood urea nitrogen 82 mg/dL, serum creatinine 3,87 mg/dl, eGFR 12,7 (mL/min/1.73 m2), serum sodium 140 mmol/L, serum potassium 5,1 mmol/L, serum calcium 8,5 mg/dL, chloride 113 mmol/L, glucose 84 mg/dL, lactate dehydrogenase 188 U/L. Erythrocyte sedimentation rate 129 mm/hour, Total serum protein 7,1 g/dL, serum albumin 3,3 g/dL.

Urinalysis revealed 3+ protein, spot urine protein/creatinine ratio 7677, and 24-h urine collection contained 8045 mg protein. C3 level 0,77, C4 level 0,08. ANA, anti-dsDNA, ANCA, ENA, and viral markers (HBV, HCV, HIV) were all negative. 

Laboratory findings are detailed in Table 1.

 

 

Table 1: Laboratory data of the patient throughout the follow-up

 

 

First visit

 

Second visit

(Kidney biopsy)

Third visit

(Emergency room)

Last visit

(After 6 months of chemotherapy initiation)

White blood count

(4–10 K/μL)

6

5,79

5,84

9,16

Hemoglobin

(12–16 g/ dL)

10

7,8

7,3

10,4

Platelet count

(150– 399 K/μL)

327

270

228

342

BUN

(9-22 mg/dL)

 

82

117

34

Serum creatinine (0.5–1.1 mg/dL)

1,14

3,87

9,98

1,19

eGFR

(mL/min/1.73 m2)

 

12,7

4

53

Serum albumin

(3.5–5.0 g/dL)

-

3,3

3,8

4,2

Urine protein/creatinine ratio

(0.021–0.161 g/h)

-

7,677

5,286

4,611

 

24 Hour Urine Protein Analysis

(mg/24 h)

-

8045

4553

3530

24 Hour Urine Albumin Analysis

(mg/24 h)

 

 

1674

 

Urinalysis

-

pH: 6.0

Density: 1014

Protein: +++.

Erythrocyte: 178

Leukocyte: 27

pH: 5.5

Density: 1014

Protein: +++

Erythrocyte: 305

Leukocyte: 35

 

ANA

-

Negative

Negative

 

Anti ds DNA

-

Negative

Negative

 

ANCA

 

 

Negative

 

ENA

 

 

Negative

 

C3 level

(0.9-1.8 g/L)

-

0,77

0,8

 

C4 level

(0.1-0.4 g/L)

-

0,08

0,1

 

IgG (g/L)

 

19,1

22,8

9,85

IgA (g/L)

 

1,35

1,77

0,679

IgM (g/L)

 

1,23

1,43

0,85

Serum immunofixation electrophoresis

-

Monoclonal IgG kappa

IgG Kappa + Free Chain

Protein in Kappa Fraction

Band Detected

 

Serum protein electrophoresis

(normal range: 11.1-18.8)

-

Gamma peak was observed (28.2%)

 

Gamma peak was observed (28.2%)

M protein %20,5

 

M protein

(g/dL)

 

1,2 g/dl

14,6

3,3

Beta-2-

Microglobulin (serum)

-

0.3 g/dL

13,2 mg/L

 

Serum free kappa (κ) (mg/L)

 

-

1160

1170

51,6

Serum free lambda (λ) (mg/L)

-

104

77,20

18,1

Free kappa/

lambda

-

11,5

15,1

2,851

Kappa light chain mg/L

-

3890

5350

 

Lambda light chain mg/L

-

208,25

840

 

 

BUN: Blood urea nitrogen, eGFR: Estimated Glomerular Filtration Rate, ANA: Antinuclear Antibody, dsDNA: Double-Stranded DNA antibody, ANCA: Anti-Neutrophil Cytoplasmic Antibody, ENA: Extractable Nuclear Antigen, C3: Complement Component 3, C4: Complement Component 4

 

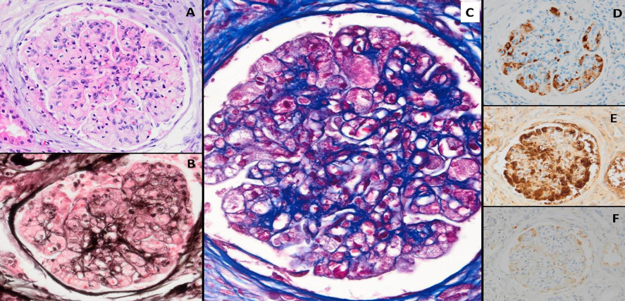
Notably, the patient exhibited nephrotic-range proteinuria with acute renal failure. A percutaneous renal biopsy was performed. Light microscopic examination revealed the presence of histiocytic cells within some of the glomerular capillaries, which were highlighted with the immunohistochemical marker CD68. Fuchsinophilic crystalline globoid structures could be discerned with the trichrome stain within these histiocytes, which were negative for PAS and silver stains. Immunohistochemical staining showed kappa positivity of the histiocytes, whereas lambda was negative. Additionally, there was segmental endocapillary proliferation characterized by mild mesangial proliferation and the presence of intracapillary inflammatory cells. Special stains also revealed the presence of double contours along the capillary walls with a focal and segmental distribution (Figure 1 and Figure 2).

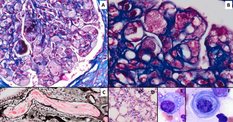
The other prominent finding was the presence of casts within some of the tubular lumens (Figure 2-C).

 

Figure 1: Histiocytic Infiltration of Glomerular Capillaries

 

Glomerulus displaying intracapillary histiocytes characterized by foamy cytoplasm A: hematoxylin & eosin stain; B: Jones methenamine silver stain, C: the intracytoplasmic inclusions/granularity of which is appreciated with the Masson trichrome stain. D: The histiocytes are highlighted with CD68 immunohistochemistry. E: The deposits within the histiocytes are positive for kappa, F: negative for lambda with immunohistochemistry

 

Figure 2: Crystal-Storing Histiocytosis and Bone Marrow Findings

A: High power magnification  showing histiocytes congesting the glomerular capillaries, Masson trichrome stain. B: Oil immersion x100 magnification uncovers globular and angulated crystalloid structures within the cytoplasm of the histiocytes, Masson trichrome stain. C: Needle shaped crystalloid casts were also present within tubular lumina, Jones methenamine silver stain. D, E, F: Bone marrow aspiration revealed increased atypical plasma cells, some of which had globular and spiral shaped cytoplasmic inclusions, May Grünwald Giemsa stain.

 

 

The crystalloid casts varied in size, and some of them were quite large and needle-shaped in appearance. Proximal tubular cells exhibited a generally swollen appearance. There was widespread acute tubular injury and multifocal infiltration of inflammatory cells in the interstitium. The plasma cells were polyclonal, as indicated by kappa and lambda immunohistochemical staining. Congo red staining for amyloid was negative. 

Crystal-storing histiocytosis with accompanying light chain cast nephropathy (LCCN) was the initial differential diagnosis. The morphological findings were focal and not represented in the piece of tissue allocated for immunofluorescence microscopy; hence, the presence of light chain deposition could not be confirmed with immunofluorescence. The biopsy was signed out with a comment that findings were consistent with renal damage associated with the presence of paraproteinemia and that the patient should be worked up for plasma cell dyscrasias.

Considering the renal biopsy findings, the work-up of quantitative serum immunoglobulins (Ig) revealed IgG levels of 19.1 g/L, IgA levels of 1.35 g/L, and IgM levels of 1.23 g/L. Serum protein electrophoresis revealed a gamma peak with IgG kappa (k) specificity. Serum free kappa light chains were 1160 mg/L, and free lambda (λ) light chains were 104 mg/L. Serum free light chain ratio was 11,5. Total kappa light chain and lambda light chain were 3890 mg/L and 208,25 mg/L, respectively. Bone marrow biopsy was proposed for further work-up of hematological malignancies; however, the patient declined the procedure. 

2 months later, the patient, who had discontinued follow-up care, was admitted to the emergency room, complaining of nausea, vomiting, and loss of appetite. She exhibited signs of dehydration, weakness, pallor, tachycardia, and tachypnea. Laboratory assessments revealed elevated urea levels at 251 mg/dL, creatinine at 9,9 mg/dL, with an estimated glomerular filtration rate (eGFR) of 4 ml/min. Additional biochemical assay results were as follows: sodium 139 mEq/L, potassium 5.2 mEq/L, uric acid 5.3 mg/dL, and phosphate 7.0 mg/dL. Further measurements indicated a pH of 7.23, bicarbonate (HCO3-) at 10.8 mmol/L, and lactate at 1.07 mmol/L. Due to the presence of uremic symptoms and anuria, a 2-hour hemodialysis session was planned for the patient. 

Subsequently, a bone marrow biopsy was performed. Given the persistence of uremic symptoms, hemodialysis was continued at a frequency of 3-4 sessions per week until the bone marrow pathology results were obtained. A bone marrow biopsy revealed a normocellular bone marrow with increased plasma cells, which were kappa monotypic; the plasma cell ratio was 25% (Figures 2D2E, and 2F). The multiple myeloma diagnosis was confirmed. 

Echocardiography revealed an ejection fraction (EF) of 60%, with a minimal pericardial effusion adjacent to the right atrium. Long bone and skull X-rays showed no lytic lesions. Additionally, PET (F-18 FDG) scanning detected no hypermetabolic findings suggestive of disease involvement.

The patient initially underwent induction chemotherapy consisting of bortezomib, cyclophosphamide, and dexamethasone (VCD) for three cycles. Soon after the commencement of VCD chemotherapy, the patient's renal function gradually improved, eliminating the need for further hemodialysis sessions. Consequently, a decision was made to monitor the patient without dialysis, scheduling weekly follow-ups at our nephrology outpatient clinic to assess the potential improvement in renal function following chemotherapy. After 2 cycles of VCD therapy, the patient transitioned to monthly follow-up visits at the outpatient nephrology clinic. The renal function recovered, but hematologic remission couldn't be achieved. Following this, the treatment regimen was switched to bortezomib, lenalidomide, and dexamethasone (VRD) chemotherapy. After 3 cycles of VRD, the chemotherapy regimen was further modified to daratumumab, bortezomib, and dexamethasone (DVD) as the patient failed to achieve hematologic remission. After 4 cycles of daratumumab therapy, partial remission was achieved, and autologous stem cell transplantation has been planned. The patient still has nephrotic-range proteinuria (3,530 mg/day) in the 24-hour urine protein analysis. Continuing proteinuria, albeit at decreased levels, was considered to be related to multiple myeloma, but could also be due to irreversible chronic kidney injury. If the patient's primary disease goes into remission, a renal biopsy may be planned during the follow-up period.

 

DISCUSSION

We present a case of renal impairment, proteinuria, and anemia due to crystalline monoclonal immunoglobulin deposits within histiocytes, which occlude glomerular capillaries and renal tubular lumina.

Monoclonal gammopathies involve the overproduction of monoclonal immunoglobulins (MIG), which can be detected in serum or urine and are associated with underlying plasma cell or B lymphocyte neoplasms. These conditions range from malignancies, such as multiple myeloma, to small clonal proliferations that have not yet reached a diagnostic threshold. MGUS indicates the presence of monoclonal gammopathy of undetermined significance (MGUS) without organ damage, while MGRS involves MGUS-associated kidney disease without overt hematologic malignancy. Most MIg-associated renal diseases result from the direct deposition of nephrotoxic MIg or its fragments (light- or heavy-chain) in various kidney compartments, causing disorders like cast nephropathy, amyloidosis, and MIg deposition diseases, along with rare conditions like immunotactoid glomerulopathy, proliferative glomerulonephritis (GN) with MIg deposits, light-chain proximal tubulopathy, and the very rare disorders of crystal-storing histiocytosis and crystal globulinemia (1).

Multiple myeloma (MM), a malignant plasma cell disorder, is defined by a serum monoclonal spike (M-spike) over 3 g/dL, more than 10% clonal plasma cells in the bone marrow, and at least one myeloma-defining event (e.g., hypercalcemia, renal impairment, anemia, or bone lesions). The kidney is a major target organ, with renal impairment often being the first symptom. Up to 40% of patients experience renal impairment, and 10-20% may require dialysis (5). 

Plasma cell dyscrasias and chronic B-cell lymphoproliferative disorders often lead to monoclonal protein deposits (kappa or lambda light chains, or heavy chains) in the kidney, forming various microscopic and ultrastructural entities under monoclonal gammopathy-associated renal pathology. Cast nephropathy is the most common kidney pathology in these cases. Monoclonal protein deposits may have substructures like fibrils, crystals, or microtubules, or appear as amorphous powdery deposits.  Monoclonal deposits can appear within kidney cells (glomerular or proximal tubular epithelial cells), extracellularly within glomerular mesangium, capillary loops, the interstitium and basement membranes, interstitial vessel lumina, or within histiocytes (crystal storing histiocytosis) (6). 

Crystal-storing histiocytosis involves the accumulation of histiocytes, stuffed with numerous Ig inclusions, in tissues (7,8). Its presence usually indicates an aggressive underlying clinical condition, often linked to neoplastic diseases (87.9%). A thorough workup is recommended. Most associated neoplastic conditions (97.83%) are lymphoproliferative hematological malignancies, including multiple myeloma, marginal zone lymphoma, lymphoplasmacytic lymphoma, and monoclonal gammopathy of undetermined significance. Multiple myeloma is the most commonly associated clinical condition, accounting for 34.06% of the cases (3). 

While the most commonly affected organ is the bone marrow (15.93 %), kidney involvement (10%) is observed as the second most frequent. Other commonly affected organs include the lungs, lymph nodes, skin, and eyes in order of frequency (3).  When the kidneys are affected, patients with CSH may exhibit symptoms such as renal insufficiency, proteinuria, or hematuria. These symptoms often relate to the deposition site, the underlying hematologic disorder, and the extent of renal involvement.

Histopathologic examination is the gold standard for diagnosing crystal-storing histiocytosis. In the kidney, intracytoplasmic crystalline Ig deposits may be seen in proximal tubular epithelial cells, infiltrating neoplastic plasma cells, interstitial histiocytes, and glomerular epithelial cells. The localization of crystalline deposits depends on the unique physicochemical properties of the specific paraprotein as well as the intracytoplasmic milieu of the cell into which they are absorbed. Rare cases of crystal deposition in mesangial and glomerular endothelial cells have also been described, and crystal-storing histiocytes within glomerular capillaries are even rarer (9). In 2016, Shah et al were the first to describe localization of crystal-storing histiocytes within capillary loops (10). Then, in 2019, Gupta et al. reviewed 23 cases of renal CSH, in which crystal-laden histiocytes were most commonly found in the interstitium. Four of 23 cases were diagnosed with CSH affecting the glomerular capillary loops (one patient had two sequential renal biopsies) (6). To our knowledge, this is the fourth patient of CSH involving the capillary loops. Our patient’s biopsy also showed an accompanying presence of casts within some of the tubular lumens consistent with LCCN. 

Studies show that most of the crystalline immunoglobulin deposits in the kidney are composed of particular kappa (κ) light chains, with IgG kappa being identified as the most frequently occurring monoclonal protein, as observed in our case (6). The majority of light chains that crystallize in LCFS are from the Vk1 variability subgroup, encoded by the LC02/012 germ line, and often feature a hydrophobic residue at position 30 that promotes crystallogenesis (11). These κ light chains exhibit resistance to proteolytic cleavage, which encourages self-aggregation and leads to lysosomal crystal accumulation —a property also observed in CSH. Similar amino acid substitutions in Vk1 light chains have been noted in both CSH and AL amyloidosis, suggesting a common pathomechanism (12).  

Immunofluorescence and electron microscopy are key for identifying and characterizing the crystals. In our case, the morphological findings were focal and not represented in the tissue sample used for immunofluorescence microscopy; however, the presence of light chain deposition could be confirmed with immunohistochemistry, demonstrating a kappa monotype. 

Considering these findings, demonstrating an underlying plasma cell disorder was essential and involved evaluating the patient with serum protein electrophoresis and a bone marrow biopsy.  IgG kappa was identified on immunofixation electrophoresis. Bone marrow biopsy also demonstrated kappa monotypic atypical plasma cells, some of which had globular and spiral-shaped cytoplasmic inclusions. 

Differential diagnosis encompasses other causes of crystalline deposits within histiocytes, such as medication/toxins, foreign bodies, infections, autoimmune, and inflammatory diseases. The crystals in some of these cases are also immunoglobulin deposits, but they are polytypic and react with both kappa and lambda light chains (3), whereas in others, the deposits are non-immunoglobulin. 

Treatment of CSH should focus on the underlying hematologic malignancy. Early detection and management of the associated hematologic condition are crucial for improving patient outcomes. The prognosis of CSH varies and is largely dependent on the underlying plasma cell disorder and the extent of organ involvement. The most commonly associated clinical condition is multiple myeloma. The prognostic significance of renal biopsy findings in cases of crystal-storing histiocytosis (CSH) is uncertain. 

Some myeloma patients with CSH have shown prolonged survival, possibly due to the earlier detection of hematologic disease resulting from organ involvement by crystal-laden cells. Conversely, renal involvement by CSH, especially when accompanied by signs of renal failure, may indicate a poor prognosis (13). Although the presence of coexistent myeloma cast nephropathy (MCN) and delay in initiation of treatment might predict a worse renal outcome for our patient, aggressive therapy targeting the hematologic disorder, reducing the synthesis and glomerular filtration of the pathogenic light chain, has the potential to stabilize renal function in patients with renal CSH.

 

CONCLUSION

We present a rare case of a patient with multiple myeloma initially presenting with renal dysfunction caused by the coexistence of CSH within the capillary loops and LCCN. To our knowledge, this is one of the few cases of crystal-storing histiocytes located within glomerular capillaries, and the first to display the combination of intracapillary CSH and LCCN.      

 

BIBLIOGRAPHY

1) Sethi S, Rajkumar SV, D'Agati VD. The Complexity and Heterogeneity of Monoclonal Immunoglobulin-Associated Renal Diseases. J Am Soc Nephrol. 2018;29(7):1810-23.

2) Nasr SH, Valeri AM, Sethi S, Fidler ME, Cornell LD, Gertz MA, et al. Clinicopathologic Correlations in Multiple Myeloma: A Case Series of 190 Patients with Kidney Biopsies. American Journal of Kidney Diseases. 2012;59(6):786-94.

3) Mobarki M, Papoudou-Bai A, Dumollard JM, Alhazmi AH, Musawi S, Madkhali MA, et al. Crystal-Storing Histiocytosis: The Iceberg of More Serious Conditions. Diagnostics. 2023;13(2):271.

4) Zhu L, Wang L, Shi H, Jiang L, Li X, Shao C, et al. Combined crystal-storing histiocytosis, light chain proximal tubulopathy, and light chain crystalline podocytopathy in a patient with multiple myeloma: a case report and literature review. Ren Fail. 2023;45(1):2145970.

5) Bladé J, Fernández-Llama P, Bosch F, Montolíu J, Lens XM, Montoto S, et al. Renal failure in multiple myeloma: presenting features and predictors of outcome in 94 patients from a single institution. Arch Intern Med. 1998;158(17):1889-93.

6) Gupta RK, Rosenberg AZ, Bagnasco SM, Arend LJ. Renal crystal-storing histiocytosis involving glomeruli - A comprehensive clinicopathologic analysis. Ann Diagn Pathol. 2019;43:151403.

7) Fang H, Chiu A, Reichard KK. Crystal-Storing Histiocytosis in Bone Marrow: A Clinicopathologic Study of Eight Cases and Review of Literature. Am J Clin Pathol. 2018;149(2):148-63.

8) Sethi S, Cuiffo BP, Pinkus GS, Rennke HG. Crystal-storing histiocytosis involving the kidney in a low-grade B-cell lymphoproliferative disorder. Am J Kidney Dis. 2002;39(1):183-8.

9) Stokes MB, Aronoff B, Siegel D, D'Agati VD. Dysproteinemia-related nephropathy associated with crystal-storing histiocytosis. Kidney Int. 2006;70(3):597-602.

10) Shah S, Sethi S, Arend L, Geetha D. Crystal-storing histiocytosis. Kidney Int. 2016;89(2):507.

11) Messiaen T, Deret S, Mougenot B, Bridoux F, Dequiedt P, Dion JJ, et al. Adult Fanconi syndrome secondary to light chain gammopathy. Clinicopathologic heterogeneity and unusual features in 11 patients. Medicine (Baltimore). 2000;79(3):135-54.

12) Lebeau A, Zeindl-Eberhart E, Müller EC, Müller-Höcker J, Jungblut PR, Emmerich B, Löhrs U. Generalized crystal-storing histiocytosis associated with monoclonal gammopathy: molecular analysis of a disorder with rapid clinical course and review of the literature. Blood. 2002;100(5):1817-27.

13) Jones D, Bhatia VK, Krausz T, Pinkus GS. Crystal-storing histiocytosis: a disorder occurring in plasmacytic tumors expressing immunoglobulin kappa light chain. Hum Pathol. 1999;30(12):1441-8.