Rev. Nefrol. Dial. Traspl. 2025;45(3):139-145

 

 

Artículo Original

 

Relación BUN/Creatinina como predictor de la Nefritis Tubulointersticial

 

BUN/Creatinine ratio as a predictor of Tubulointerstitial Nephritis

 

José Lucas Daza1, Ignacio Roca2, Verónica Remache3, Andrés Cárdenas4 , Marcela Yanguma5, Juan Sebastián Reyes Bello6, Fernando Segovia7  

1) Departamento de Medicina Interna y Nefrología, Sociedad Colombiana de Nefrología e Hipertensión Arterial, Bogotá, Colombia.

2) Departamento de Hepatología, Hospital El Cruce, Argentina.

3) Departamento de Nefropatología, Universidad Rey Juan Carlos, Universidad Madrid, España.

4) Departamento de Medicina General, Universidad Cooperativa de Colombia, Bogotá, Colombia.

5) Departamento de Medicina General, Fundación Universitaria Juan N Corpas, Bogotá, Colombia.

6) Departamento de Medicina General, Fundación Universitaria Sanitas, Bogotá, Colombia.

7) Departamento de Medicina Interna y Nefrología, Hospital de Clínicas, Universidad de Buenos Aires, Argentina.

 

Recibido en su forma original: 27 de abril de 2025

En su forma corregida: 09 de junio de 2025

Aceptación final: 25 de julio de 2025

ORCID: 0000-0002-64305415

E-mail:drlucasdaza@gmail.com

 

 

RESUMEN

Introducción: La nefritis intersticial aguda (NIA) es una de las principales causas de lesión renal aguda en pacientes hospitalizados, presentándose en el 15% al 27% de las biopsias renales realizadas en pacientes con IRA. El cociente nitrógeno ureico en sangre/creatinina (BCR) disminuye en las lesiones tubulares renales y puede ayudar a identificar a los pacientes con NIA (Salvador López Giacoman et al.). Este estudio tuvo como objetivo confirmar si un BCR bajo es un buen predictor de NIA en pacientes con diagnóstico histológico renal de NIA. Materiales y Métodos: Se realizó un estudio retrospectivo con pacientes hospitalizados mayores de 18 años con diagnóstico de nefritis intersticial aguda (NIA) realizado mediante histología renal. Resultados: Se incluyeron 52 pacientes (60% varones, edad media de 42 años), y el cociente BUN/creatinina (BCR) óptimo para la clasificación de la nefritis intersticial aguda (NIA) se determinó como ≤14,5, con un área bajo la curva (AUC) de 0,92 (p = 0,016). Este valor de corte mostró una sensibilidad del 91,3%, una especificidad del 89,7%, un valor predictivo positivo del 92,8% y un valor predictivo negativo del 89,7%, con una razón de probabilidades (OR) de 21,8. Los cilindros leucocitarios en orina tuvieron una OR de 2,12 (p = 0,05) para la predicción de NIA. Conclusión: Una relación BUN/creatinina (BCR) ≤14,5 se correlacionó con hallazgos histológicos de nefritis intersticial aguda.

Palabras Clave: Nefritis intersticial aguda (NIA); enfermedad renal terminal (ERT); relación urea/creatinina (RUC)

 

ABSTRACT

Introduction: Acute interstitial nephritis (AIN) is one of the leading causes of acute kidney injury in hospitalized patients, occurring in 15% to 27% of kidney biopsies performed in patients with AKI. The blood urea nitrogen-to-creatinine ratio (BCR) decreases in renal tubular lesions and can help identify patients with AIN (Salvador López Giacoman et al.). This study aimed to confirm whether a low BCR is a good predictor of AIN in patients with a renal histology diagnosis of AIN. Materials and Methods: We conducted a retrospective study of hospitalized patients aged 18 years or older who were diagnosed with AIN based on renal histology. Results: 52 patients were included (60% male, mean age 42), and the optimal BUN/creatinine ratio (BCR) for classifying acute interstitial nephritis (AIN) was determined to be ≤14.5, with an area under the curve (AUC) of 0.92 (p=0.016). This cutoff showed a sensitivity of 91.3%, a specificity of 89.7%, a positive predictive value of 92.8%, and a negative predictive value of 89.7%, with an odds ratio (OR) of 21.8. Leukocyte casts in urine had an OR of 2.12 (p=0.05) for predicting AIN. Conclusion: A BUN/creatinine ratio (BCR) ≤14.5 was correlated with histological findings of acute interstitial nephritis.

 

Keywords: Acute interstitial nephritis (AIN); end-stage renal disease (ESRD); BUN/creatinine ratio (BCR)

 

 

INTRODUCTION

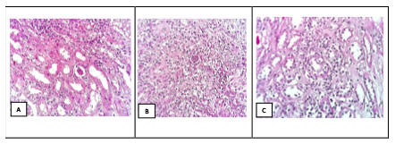
Acute interstitial nephritis (AIN) is a frequent cause of acute kidney injury, accounting for 15–27% of renal biopsies performed because of this condition (1,2). It is characterized by inflammatory infiltrates and edema within the interstitium, usually associated with an acute deterioration in renal function (Figure 1). In some studies, AIN represented 1–3% of all renal biopsies (3,4).

 

Figure 1: Histopathological Features of Acute Interstitial Nephritis

 

 

(A) and (B): Hematoxylin & eosin stain, dilation of tubules, flattening of the epithelium, presence of cellular debris in the lumens. (C): Periodic Acid-Schiff (PAS) stain, with inflammatory infiltrate in the interstitial and tubulitis, foci of loss of the brush border.

 

AIN is associated with an acute decline in renal function and may progress to permanent renal insufficiency or even end-stage renal disease (ESRD) (5). AIN is a multifaceted disease that has been identified as an important cause of unexplained acute kidney injury in hospitalized patients, with drug-induced AIN being considered the most common cause (6).  

The classic triad described for AIN presentation includes fever, dermatosis, and eosinophilia. Eosinophilia is only present in 10% of patients (7), thus resulting in poor diagnostic performance (8,9).

Previous studies have evaluated new biomarkers of AIN by analyzing markers of inflammation, interstitial edema, cellular damage, and tubular lesions; however, their clinical utility remains unknown (9). Despite the numerous biomarkers examined, the gold standard remains percutaneous renal biopsy (10,11). It is widely accepted that the blood urea nitrogen to creatinine ratio (BCR) decreases in renal tubular lesions. However, for a long time, there was no prospective clinical-histological evidence directly connecting a low BCR with AIN. This gap was filled in 2023 when Salvador L.G. et al. published a study providing new evidence that supports the link between low BCR and AIN (12). This study encompassed 42 patients with acute kidney injury who underwent kidney biopsy and histology revealed AIN in 19 patients (45%), with AIN cases showing a significantly lower mean BCR of 11.2 (±3.8) compared to focal segmental glomerulosclerosis (16.6%), membranous nephropathy (11.9%), IgA nephropathy (9.5%), and amyloidosis (9.5%) these groups having a higher mean BCR of 21.4 (±8.7) (12). A significant inverse correlation was observed between histology and BCR (r = -0.57, p = 0.001). Notably, in multivariate analysis, BCR emerged as the only variable independently associated with AIN (12). Given these findings, there is a clear need to further explore the diagnostic potential of BCR as a simple and accessible marker for AIN. This study aims to assess the potential association between BCR and biopsy-proven AIN, contributing to a better understanding of BCR as a diagnostic tool in this context.

 

MATERIALS AND METHODS

From June 2017 to June 2025, we retrospectively recruited hospitalized patients of both sexes aged 18 years and older who were diagnosed with AKI according to the creatinine criteria established by the Kidney Disease: Improving Global Outcomes guidelines (13).

This study aimed to confirm whether a low BCR is a good predictor of AIN in patients with a histopathological diagnosis of AIN. Table 1 shows the demographic and clinical characteristics of patients. 

 

Table 1: Sociodemographic, Clinical, and Renal Characteristics*

Variable

No Interstitial

nephritis (N=29)

Interstitial nephrits (N=23)

p value

Age (mean± SD)

40.58 (10.914)

42.17 (8.742)

0.573 (1)

Sex (N, %)

2 (6.9%)

7 (30.4%)

0.061 (2)

Arterial hypertension (N, %)

13 (44.8%)

10 (43.5%)

0.922 (3)

Diabetes Mellitus (N, %)

5 (17.2%)

9 (39.1%)

0.077 (3)

Creatinine mg/dl (mean± SD)

4.06 (1.12)

3.93 (0.76)

0.626 (1)

BUN mg/dl (median, IQR)

77 (60 – 89)

40 (33 – 43)

0.21 (4)

BUN/Creatinine ratio

(media ± SD)

18.00 (4.03)

10.76 (2.70)

0,2 (1)

Albumin/Creatinine ratio (median, IQR)

410 (176-212)

101 (85 – 205,5)

< 0.001 (4)

Leukocyte casts (N, %)

7 (24.1%)

16 (69.6%)

0.001 (3)

Acanthocytes (N, %)

10 (34.5%)

1 (4.3%)

0.014 (2)

Hematic casts (N, %)

2 (6.9%)

0 (0.0%)

0.497 (2)

Hemoglobin gr/dl

(median, IQR)

11.8 (11 – 12)

11 (10.8 – 11.85)

0.093 (4)

Sodium mEq/L (mean ± SD)

136.58 (3.93)

136.69 (2.96)

0.912 (1)

AIN: Acute interstitial nephritis; AKI: Acute kidney injury; SD: Standard deviation; IQR: Interquartile range; BUN: Blood urea nitrogen; ACR: Albumin/creatinine ratio.

* Note: Demographic characteristics and biochemical variables at clinical diagnosis. Patient groups are divided according to the presence of AIN. Quantitative variables were expressed as the mean ± standard deviation (SD) for normally distributed data and as the median with interquartile range (IQR) for non-normally distributed data. Categorical variables were expressed as absolute numbers and percentages (N, %). Results were considered to be statistically significant when p<0.05.

 

 

1. Linear Model ANOVA

2. Fisher's Exact Test for Count Data

3. Pearson's Chi-squared test

4. Wilcoxon rank sum test.

Inclusion criteria: 1. Age over 18 years. 2. Urinary sediment performed by trained nephrologists 3. Kidney biopsies were performed in standardized centers.

Exclusion criteria: 1. Pregnancies 2. Use of glucocorticoids 3. Sepsis 4. Rhabdomyolysis 5. Systemic diseases (Systemic Lupus Erythematosus, Vasculitis).

The comprehensive clinical evaluation recorded prescribed medications and herbal medication consumption. Medical records noted whether the patient had a skin rash and other signs of systemic diseases. Peripheral blood samples were collected for a complete blood count and a basic metabolic panel. Additionally, all patients underwent a biochemical urine analysis, including an albumin-to-creatinine ratio.

The urine samples were centrifuged, and the urine sediment was analyzed with light microscopy for the presence of urine particles, mainly leukocyte cylinders (Figure 2).

 

Figure 2: Leukocytic cast (light microscope, x 400 own file)

Light microscopy (×400) showing a leukocyte cast, consistent with inflammatory activity in the renal tubules of AIN (Acute interstitial nephritis) patients

 

 

Experienced interventional radiology specialists performed all renal biopsies under local anesthesia. All patients were normotensive prior to the procedure, and kidney size and anatomy were assessed using ultrasound. The biopsy procedure was guided by real-time ultrasound. After the procedure, patients were monitored during their hospital stay.

All tissues were processed in three nephropathology centers in Bogotá, Colombia. The kidney samples were fixed in 10% formaldehyde, embedded in paraffin, and stained with hematoxylin-eosin, PAS, Masson's trichrome, and Jones' methenamine silver. Histologically, AIN was defined as interstitial edema and interstitial infiltrate formed mainly by mononuclear or polymorphonuclear leukocytes. Tubulitis was defined as the invasion of the tubular basement membrane by inflammatory cells (Figure 1).

We analyzed the clinical and pathological characteristics of renal biopsies of 62 patients diagnosed with acute kidney injury in the period from March 2017 to June 2025. In a review of clinical records from hospitalized patients in various hospital centers in Ibague, Bogota, Colombia, ten patients were excluded because they did not meet the inclusion criteria. AIN in 23 patients (44.2%), with AIN cases showing a significantly lower mean BCR of <14.5. The other group of patients who did not present with acute interstitial nephritis consisted of a total of 29 patients, accounting for 55.8%. The pathologies found were acute tubular necrosis in 15 patients, corresponding to 28.8%, and focal and segmental glomerulosclerosis in 14 patients, corresponding to 26.9%.

Most of the patients were receiving NSAIDs, some antibiotics, herbal preparations, antidiabetics, antihypertensives, and antacids (Table 2).

The urine particles were analyzed, which was evidenced by leukocyte casts OR 2.12, 95% CI (4.6, 28.61), and P value 0.05 (Figure 3).

 

 

Table 2: Pharmacological agents and herbal preparations

Anti-hypertensives

 

Losartan, valsartan, enalapril, clonidine, prazosin, nifedipine, amlodipine, hydrochlorothiazide

Antidiabetic

Glargine insulin, metformin, dapagliflozin, empagliflozin, semaglutide

Antiacids

Omeprazole, pantoprazole, esomeprazole

Analgesics

Ibuprofen, naproxen, diclofenac, ketorolac, acetaminophen

Herbal preparations

Moringa olefeira, phyllanthus niruri

OR: Odds ratio; CI: Confidence interval; AIN: Acute interstitial nephritis; AKI: Acute kidney injury; ACR: Albumin/creatinine ratio; BCR: BUN/creatinine ratio

*Note: Logistic regression results.

 

Figure 3: Roc curve of the Bun/creatinine ratio for the diagnosis of acute interstitial nephritis

 

DISCUSSION

Our retrospective study demonstrated that low BCR (BCR < 14,2) adequately predicts the diagnosis of histological AIN in patients with AKI (Figure 1). Because many healthcare centers in emerging countries sometimes do not have the economic resources to perform kidney biopsies in clinical practice, or the patients are too sick, contraindicating a kidney biopsy, the finding of a low BCR may facilitate treatment and avoid needing a kidney biopsy.

Urea was the first biomarker related to renal dysfunction; urea is freely filtered, and between 40% and 70% of the filtered urea returns to the plasma through the tubular epithelium. It has high sensitivity and low specificity for the diagnosis of kidney disease; serum Cr, the most widely used biomarker in nephrology, does not bind to proteins, is freely filtered, not reabsorbed or metabolized in the kidney, and was the first biomarker used for the clinical quantification of GFR. Approximately 25% of urinary Cr is secreted by the renal tubules (14,15).

The presence of inflammatory infiltrates and edema within the interstitium, usually associated with acute deterioration in renal function, characterizes Acute Interstitial Nephritis (AIN). In some studies, AIN accounted for 1% to 3% of all kidney biopsies. However, when the analysis was restricted to patients with acute renal failure, AIN accounted for 15% to 27% of lesions (16). The inflammatory cell infiltrates characteristic of AIN can be diffuse or irregular. Interstitial edema is a typical finding, while glomeruli and vessels are normal. Interstitial infiltrates mainly comprise lymphocytes (CD4 + T cells are the most abundant type), macrophages, eosinophils, and plasma cells. Fibrotic changes can already be observed within 7 to 10 days after the onset of the inflammatory process, and progression to advanced interstitial fibrosis accompanied by tubular atrophy occurs unless the causative drug is promptly withdrawn or steroid treatment is started (17). That is why it is important to diagnose AIN early. In our study, a BCR of less than 14.5 had a robust correlation with histological findings of acute interstitial nephritis.

 

CONCLUSION

In hospitalized patients with acute kidney injury, the presence of BCR≤14.5 correlated with histologic findings of acute interstitial nephritis.

 

Acknowledgments and Declarations 

Funding 

This research received no specific grant from funding agencies in the public, commercial, or not-for-profit sectors. 

 

Conflicts of Interest

The authors have no relevant financial or non-financial interests to disclose. 

 

Data Availability

Available from the corresponding author on reasonable request.

 

Ethical Considerations

The study was carried out through a review of clinical records, which did not imply any risk for the patients. Therefore, the patient's signature of informed consent was not required. The protocol was approved by all the hospitals' teaching and research committees.

 

 

BIBLIOGRAPHY

1) Perazella MA. Clinical Approach to Diagnosing Acute and Chronic Tubulointerstitial Disease. Adv Chronic Kidney Dis. 2017;24(2):57-63. doi:10.1053/j.ackd.2016.08.003

2) Haas M, Spargo BH, Wit EJC, Meehan SM. Etiologies and outcome of acute renal insufficiency in older adults: A renal biopsy study of 259 cases. American Journal of Kidney Diseases. 2000;35(3):433-447. doi:10.1016/S0272-6386(00)70196-X

3) Cameron JS. Allergic interstitial nephritis: clinical features and pathogenesis. Q J Med. 1988;66(250):97-115.

4) Pettersson E, von Bonsdorff M, Törnroth T, Lindholm H. Nephritis among young Finnish men. Clin Nephrol. 1984;22(5):217-222.

5) Dobrek L. A Synopsis of Current Theories on Drug-Induced Nephrotoxicity. Life (Basel). 2023;13(2). doi:10.3390/life13020325

6) Dos Reis, D., Moll, S., De Seigneux, S., & Berchtold, L. (2022). Néphrite interstitielle aiguë : quand la suspecter et quelle prise en charge ? [Acute interstitial nephritis: clinical presentation and diagnosis]. Revue medicale suisse, 18(771), 364–369. https://doi-org.proxy.unisanitas.edu.co/10.53738/REVMED.2022.18.771.364

7) Corwin HL, Korbet SM, Schwartz MM. Clinical correlates of eosinophilia. Arch Intern Med. 1985;145(6):1097-1099.

8) Muriithi AK, Nasr SH, Leung N. Utility of urine eosinophils in the diagnosis of acute interstitial nephritis. Clin J Am Soc Nephrol. 2013;8(11):1857-1862. doi:10.2215/CJN.01330213

9) Martinez Valenzuela L, Draibe J, Fulladosa X, Torras J. New Biomarkers in Acute Tubulointerstitial Nephritis: A Novel Approach to a Classic Condition. Int J Mol Sci. 2020;21(13). doi:10.3390/ijms21134690

10) Robertson H, Kirby JA. Post-transplant renal tubulitis: the recruitment, differentiation, and persistence of intra-epithelial T cells. Am J Transplant. 2003;3(1):3-10. doi:10.1034/j.1600-6143.2003.30102.x

11) Berney-Meyer L, Hung N, Slatter T, Schollum JB, Kitching AR, Walker RJ. Omeprazole-induced acute interstitial nephritis: a possible Th1-Th17-mediated injury? Nephrology (Carlton). 2014;19(6):359-365. doi:10.1111/nep.12226

12) Salvador, L. G., Carolina, G. F., Jesús, R. D., Virgilia, S. A. M., Susana, R. A., Jonathan, C. Í., Luis, S. P. J., & Claudio, R. (2023). A low BUN/creatinine ratio predicts histologically confirmed acute interstitial nephritis. BMC Nephrology. 24(1),75. https://doi-org.proxy.unisanitas.edu.co/10.1186/s12882-023-03118-0

13) Khwaja A. KDIGO clinical practice guidelines for acute kidney injury. Nephron Clin Pract. 2012;120(4):c179-84. doi:10.1159/000339789

14) CHIOU WL, HSU FH. Pharmacokinetics of Creatinine in Man and Its Implications in the Monitoring of Renal Function and Dosage Regimen Modifications in Patients with Renal Insufficiency. The Journal of Clinical Pharmacology. 1975;15(5-6):427-434. doi:10.1002/j.1552-4604.1975.tb02364.x

15) Eisner C, Faulhaber-Walter R, Wang Y, et al. Major contribution of tubular secretion to creatinine clearance in mice. Kidney Int. 2010;77(6):519-526. doi:10.1038/ki.2009.501

16) Farrington K, Levison DA, Greenwood RN, Cattell WR, Baker LR. Renal biopsy in patients with unexplained renal impairment and normal kidney size. Q J Med. 1989;70(263):221-233.

17) González E, Gutiérrez E, Galeano C, et al. Early steroid treatment improves the recovery of renal function in patients with drug-induced acute interstitial nephritis. Kidney Int. 2008;73(8):940-946. doi:10.1038/sj.ki.5002776

 

 

BIBLIOGRAPHY

1) Fonseca JA, Gameiro J, Duarte I, Jorge S, Lopes JA. The neutrophil-to-lymphocyte ratio as a marker of vasculitis activity, severe infection, and mortality in ANCA-associated vasculitis: A retrospective study. Nefrologia (Engl Ed). 2021;41(3):321-328.

2) Přikryl P, Hrušková Z, Konopásek P, Hladinová Z, Tesař V, Vokurka M. Serum hepcidin is increased in ANCA-associated vasculitis and correlates with activity markers. Physiol Res. 2018;67(6):945-954.

3) Lyons PA, Rayner TF, Trivedi S, Holle JU, Watts RA, Jayne DRW. Genetically distinct subsets within ANCA-associated vasculitis. N Engl J Med. 2012;367(3):214-223. 

4) Lionaki S, Blyth ER, Hogan SL, Hu Y, Senior BA, Jennette CE. Classification of antineutrophil cytoplasmic autoantibody vasculitides: the role of antineutrophil cytoplasmic autoantibody specificity for myeloperoxidase or proteinase 3 in disease recognition and prognosis. Arthritis Rheum. 2012;64(10):3452-3462.

5) Jennette JC. Overview of the 2012 revised International Chapel Hill Consensus Conference nomenclature of vasculitides. Clinical and experimental nephrology. 2013;17(5):603-606.

6) Goodnow CC. Multistep pathogenesis of autoimmune disease. Cell. 2007;130(1):25-35.

7) Hutton HL, Alikhan MA, Kitching AR. Inflammasomes in the Kidney. Exp Suppl. 2018; 108:177-210. 

8) Hutton HL, Holdsworth SR, Kitching AR. ANCA-Associated Vasculitis: Pathogenesis, Models, and Preclinical Testing. Semin Nephrol. 2017;37(5):418-435.

9) Hu B, Yang XR, Xu Y, Sun YF, Sun C, Guo W. Systemic immune-inflammation index predicts prognosis of patients after curative resection for hepatocellular carcinoma. Clin Cancer Res. 2014;20(23):6212-6222. 

10) Yan Q, Ertao Z, Zhimei Z, Weigang D, Jianjun P, Jianhui C. Systemic immune-inflammation index (SII): A More Promising Inflammation-Based Prognostic Marker for Patients with synchronic colorectal peritoneal carcinomatosis. J Cancer. 2020;11(18):5264-5272.

11) Chen JB, Tang R, Zhong Y, Zhou YO, Zuo X, Luo H. Systemic immune-inflammation index predicts a reduced risk of end-stage renal disease in Chinese patients with myeloperoxidase-anti-neutrophil cytoplasmic antibody-associated vasculitis: A retrospective observational study. Exp Ther Med. 2021;22(3):989.

12) Ahn SS, Jung SM, Song JJ, Park YB, Lee SW. The neutrophil-to-lymphocyte ratio at diagnosis can estimate vasculitis activity and predict a poor prognosis in patients with ANCA-associated vasculitis: a retrospective study. BMC Nephrol. 2018;19(1):187.

13) Meeusen JW, Kasozi RN, Larson TS, Lieske JC. Clinical Impact of the Refit CKD-EPI 2021 Creatinine-Based eGFR Equation. Clinical chemistry. 2021;68(4):534–539.

14) Nakazawa D, Shida H, Kusunoki Y, Miyoshi A, Nishio S, Tomaru U. The responses of macrophages in interaction with neutrophils that undergo NETosis. J Autoimmun. 2016; 67:19-28. 

15) Xiao H, Heeringa P, Liu Z, Huugen D, Hu P, Maeda N. The role of neutrophils in the induction of glomerulonephritis by anti-myeloperoxidase antibodies. Am J Pathol. 2005;167(1):39-45. 

16) Moon JS, Ahn SS, Park YB, Lee SK, Lee SW. C-Reactive Protein to Serum Albumin Ratio Is an Independent Predictor of All-Cause Mortality in Patients with ANCA-Associated Vasculitis. Yonsei Med J. 2018;59(7):865-871.

17) Willeke P, Kümpers P, Schlüter B, Limani A, Becker H, Schotte H. Platelet counts as a biomarker in ANCA-associated vasculitis. Scand J Rheumatol. 2015;44(4):302-308.

18) Huang L, Shen C, Zhong Y, Ooi JD, Zhou YO, Chen JB. The association of neutrophil-to-lymphocyte ratio with all-cause mortality in Chinese patients with MPO-ANCA-associated vasculitis. Clin Exp Med. 2020;20(3):401-408. 

19) Park HJ, Jung SM, Song JJ, Park YB, Lee SW. Platelet to lymphocyte ratio is associated with the current activity of ANCA-associated vasculitis at diagnosis: a retrospective monocentric study. Rheumatol Int. 2018;38(10):1865-1871. 

20) Gündüz OS, Toraman A. Prognostic Value of Hematological Parameters in Anti-Neutrophil Cytoplasmic Antibody-Associated Vasculitis. Celal Bayar Üniversitesi Sağlık Bilimleri Enstitüsü Dergisi. 2022;9 (1):143-150. 

21) Ozdemir A, Baran E, Kutu M, Celik S, Yılmaz M. Could systemic immune inflammation index be a new parameter for diagnosis and disease activity assessment in systemic lupus erythematosus. Int Urol Nephrol. 2023;55(1):211-216. 

22) Kim Y, Choi H, Jung SM, Song JJ, Park YB, Lee SW. The systemic immune-inflammation index can estimate the cross-sectional high activity and poor outcomes in immunosuppressive drug-naïve patients with antineutrophil cytoplasmic antibody-associated vasculitis. Nephrology (Carlton). 2019;24(7):711-717. 

23) Wang R, An D, Wu Y, Ma P, Guo Y, Tang L. Clinicopathological characteristics and outcomes of antineutrophil cytoplasmic autoantibody-related renal vasculitis with hyperuricemia: a retrospective case-control 

 Rep. 2021;11(1):2002